WAB 14-2: ECOGRAFÍA - INDUCCIÓN DE LA OVULACIÓN
| Página 1 de 1 |
|

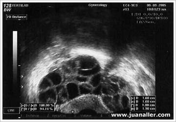
Folículo único en estimulación con clomifeno

Hiperestimulación con clomifeno
| 
Superovulación con gonadotropinas

Hiperstimulación con gonadotropinas
|
Banners patrocinados
Anuncios patrocinados
|