ECOGRAFIA
Wab 14-2: ecografía - ovulación
Wab 14-2: ecografía - inducción de la ovulación
Wab 14-2: ecografía - quistes
Wab 14-2: ecografía - endometriomas
Wab 14-2: ecografía - útero
Wab 14-2: ecografía - trompas
Wab 14-2: ecografía - varios
Visto:  11430 
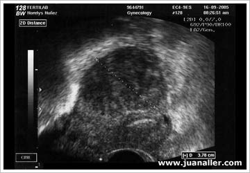
   WAB 14-2: ECOGRAFÍA - ÚTERO   
Página 1 de 1
Página 1

Mioma submucoso

Mioma submucoso

Mioma  intramural

Fibroma subseroso

Mioma  intramural

Mioma intramural



Mioma subseroso

Mioma subseroso

Mioma intracervical

Mioma intracervical

Miomas múltiples

Miomas múltiples


Wab 14-2: ecografía - endometriomas Página 1 de 1 Wab 14-2: ecografía - trompas
Wab 14-2: ecografía - endometriomas Página 1 Wab 14-2: ecografía - trompas

 Artículos relacionados: 

   Wab 7-5: ecografía - inducción de la ovulación visto 10263 veces
   Wab 7-5: sonohisterografía - técnica visto 13848 veces
   Wab 14-2: sonohisterografía - varios visto 7900 veces
   Condiciones de uso visto 24441 veces
   Wab 14-2: sonohisterografía - técnica visto 12274 veces


Banners patrocinados
Anuncios patrocinados
Es considerado una de las mejores alternativas como ejercicios para tonificar, fortalecer y mejorar la flexibilidad muscular.
 
   
Es una modalidad de crédito hasta 36 meses para pagar, dirigido a Tratamientos de fertilidad o relacionados con la concepción.
 
   
Para un óptimo desarrollo y crecimiento en todas las etapas... Complemento alimenticio
 
   

Twitter
Alexa traffic